|
Tweet |
Yaşlı kedilerde kafa karışıklığı, uyku bozukluğu ve artan seslenme gibi belirtiler fark edildi. Araştırmacılar, ölen 25 kedinin beyinlerini inceledi ve insanlarda Alzheimer’a yol açan toksik protein amiloid-beta’nın biriktiğini tespit etti. Bu durum bilim insanları tarafından Alzheimer için mükemmel doğal model olarak değerlendiriliyor.
Edinburgh Üniversitesi Royal Veterinerlik Okulu’ndan Dr. Robert McGeachan:
"Bunama yıkıcı bir hastalıktır; ister insanlar, ister kediler ya da köpekler etkileniyor olsun. Bulgularımız, kedilerdeki bunama ile insanlardaki Alzheimer arasındaki çarpıcı benzerlikleri gösteriyor. Bu da yeni tedavilerin evcil hayvanlarımıza uygulanıp uygulanamayacağını araştırmamıza olanak sağlıyor”
.jpg)
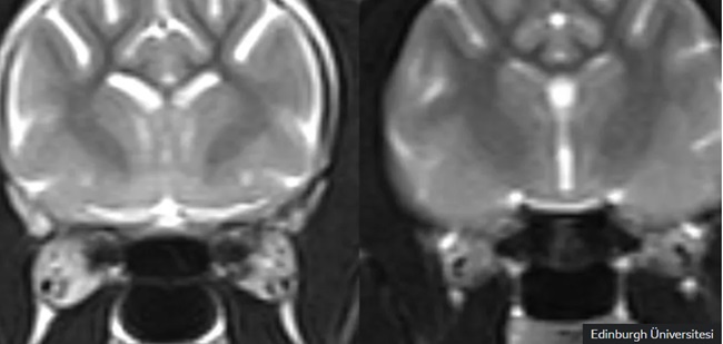
Soldaki MRI görüntüsündeki açık alanlar, sağdaki resimde görülen normal bir kedi beynine kıyasla, bunama hastası yaşayan bir kedide daha fazla beyin dokusu kaybı olduğunu göstermektedir.
Görsellerin dikkat çekici detayları
Mikroskop altında, kedilerin beyinlerinde sinapslarda (beyin hücreleri arasındaki bağlantılar) amiloid-beta birikimi gözlendi. Bu sinapsların kaybı, insanlarda hafıza ve düşünme yetilerini azaltıyor. Kedilerde doğal olarak gelişen bu değişiklikler, araştırmacılara Alzheimer’ı daha gerçekçi bir şekilde inceleme imkanı sunuyor.
.jpg)
Araştırma, ölmüş kediler üzerinde yapılsa da, hayvan hakları grupları tarafından saygılı ve invaziv olmayan bir yöntemle yapıldığı iddia ediliyor. Canlı kediler üzerinde deneyler yapılması ise hayvan hakları grupları tarafından desteklenmiyor.
Bu keşif, kedilerin doğal olarak Alzheimer benzeri değişiklikler geçirmesi sayesinde hem bilim insanlarına hem de veterinerlere yeni tedavi yöntemleri geliştirme fırsatı sunuyor.
(DIŞ HABERLER SERVİSİ)